Les augmentations osseuses
Implantologie exclusive – Chirurgien-dentiste à Lyon
Il est souvent possible de poser un implant dans des situations où le volume osseux est réduit. L’implant choisi est alors petit, étroit, inséré avec un axe oblique, ou décalé.
Le résultat esthétique est médiocre et la durée de vie de l’implant est faible.
S’il n’y a pas assez d’os, il est utile de le reconstituer pour pouvoir poser des implants de longueur adaptée et dans des axes compatibles avec une bonne gestion de l’esthétique.
De nombreuses techniques existent pour reconstituer les défauts osseux.
Il s’agit de remplir le défaut osseux avec un biomatériau, recouvrir celui-ci par une membrane pour l’isoler de la gencive. L’implant est posé dans le même temps opératoire. Lorsque l’indication est bien posée, les résultats sont fiables et reproductibles
Grace à la technologie de la Piezzo-Chirurgie, l’intervention, sous anesthésie locale (il est possible pour les patients anxieux d’avoir recours à la sédation consciente), est rapide. Les suites opératoires sont, en général, simples. Quatre mois après la greffe, les implants peuvent être posés.
Lorsque le sinus s’est expansé en creusant le volume osseux, il est possible de recréer la hauteur nécessaire en greffant un biomatériau.
Dans certains cas, les implants sont posés dans la même séance, dans d’autres cas, ils sont insérés 4 à 6 mois plus tard.
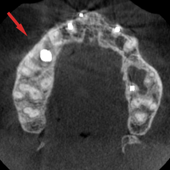
Avant : la largueur osseuse est faible, un implant trop étroit pourrait être placé dans un axe incompatible avec un bon résultat esthétique
Après : la largueur osseuse est normale, un implant de diamètre adapté est placé dans l’axe idéal pour un bon résultat esthétique et pérenne
Avant : la largueur osseuse est faible, un implant trop étroit pourrait être placé dans un axe incompatible avec un bon résultat esthétique
Après : la largueur osseuse est normale, un implant de diamètre adapté est placé dans l’axe idéal pour un bon résultat esthétique et pérenne
Avant : la gencive n’est pas soutenue par un volume osseux suffisant, le rendu esthétique serait inadapté
Après : la gencive est soutenue par un volume osseux suffisant, le rendu esthétique est adapté
Avant : la hauteur de tissu osseux disponible sous le sinus est trop faible pour ancrer un implant.
Après : la hauteur de tissu osseux est augmentée, un implant peut être ancré avec succès.
Avant : la hauteur de tissu osseux disponible sous le sinus est trop faible pour ancrer les implants.
Après : la hauteur de tissu osseux est augmentée, des implants peuvent être ancrés avec succès. Radiographies prise après la pose des couronnes.